Actualidad regional de Canarias: política, economía, sociedad y cultura con enfoque insular desde Fuerteventura

La Consejería de Universidades, Ciencia e Innovación y Cultura del Gobierno de Canarias ha anunciado la ampliación del plazo para solicitar las ayudas al desplazamiento correspondientes al curso 2024/2025. Los estudiantes tendrán ahora hasta el 11 de septiembre de 2025 para presentar sus solicitudes y optar a estas subvenciones, destinadas a compensar los gastos de […]
Redacción Radio Insular · 20 ago 2025

La Consejería de Turismo y Empleo del Gobierno de Canarias, a través del Servicio Canario de Empleo (SCE), ha lanzado un plan dotado con 10 millones de euros para apoyar a las corporaciones locales en la contratación de desempleados de larga duración. La iniciativa se orienta a obras y servicios de interés general o social […]
Redacción Radio Insular · 19 ago 2025

El número de migrantes que han llegado de forma irregular a Canarias en lo que va de 2025 ha descendido un 46,7 % con respecto al mismo periodo del año anterior. Así lo indica el último informe publicado por el Ministerio del Interior, que detalla que hasta el 15 de agosto han arribado al archipiélago […]
Redacción Radio Insular · 19 ago 2025

Nueva Canarias–Bloque Canarista ha lanzado una dura crítica contra la gestión del suministro de agua en Fuerteventura por parte del Cabildo Insular y del consejero Adargoma Hernández, al que acusan de “faltar al respeto” a la ciudadanía con declaraciones que minimizan la gravedad del problema. “Mientras miles de vecinos siguen sufriendo cortes o bajadas de […]
Redacción Radio Insular · 19 ago 2025

El Cabildo de Fuerteventura y la Asociación de Empresarios Turísticos de Fuerteventura (ASOFUER) han suscrito un convenio de colaboración para poner en marcha el proyecto Foros de Economía, Emprendimiento y Empleo en Fuerteventura. La iniciativa cuenta con la cofinanciación del Gobierno de Canarias, a través del Fondo de Desarrollo de Canarias (FDCAN), y se centrará […]
Redacción Radio Insular · 18 ago 2025

Oasis Wildlife Fuerteventura ha cerrado una nueva edición de su campamento infantil Oasis Camp, un proyecto educativo pionero en España que ha reunido durante dos semanas a cerca de un centenar de niños y niñas de entre 4 y 12 años. La experiencia, desarrollada en plena naturaleza y en convivencia con más de 250 especies […]
Redacción Radio Insular · 15 ago 2025

La consejera de Turismo y Empleo del Gobierno de Canarias, Jéssica de León, junto a la directora del Servicio Canario de Empleo (SCE), María Teresa Ortega, visitó este jueves en Fuerteventura el primer programa de formación dirigido a menores migrantes tutelados por la Comunidad Autónoma. La iniciativa busca mejorar la integración social y laboral de […]
Redacción Radio Insular · 15 ago 2025

El fraude eléctrico vuelve a situarse en la agenda canaria y, en particular, en Fuerteventura. Endesa, a través de su filial de redes e-distribución, ha detectado 536 fraudes en las islas durante el primer semestre del año, lo que equivale a casi diez casos por semana. En el ámbito majorero, Puerto del Rosario concentra 27 […]
Redacción Radio Insular · 12 ago 2025

El Gobierno de Canarias conmemora este martes el Día Internacional de la Juventud con la campaña institucional “Lo que te sostiene”, una pieza audiovisual y una batería de acciones que, desde la Dirección General de Juventud, ponen el foco en la empleabilidad, la participación, la igualdad y la movilidad de la población joven del Archipiélago. […]
Redacción Radio Insular · 12 ago 2025

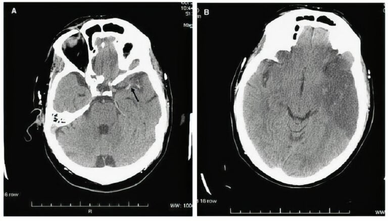
El Servicio de Urgencias Canario (SUC) ha reiterado este martes un mensaje clave: reconocer a tiempo los síntomas de ictus y activar de inmediato el 112 puede marcar la diferencia entre la vida y la muerte, y reducir de forma decisiva las secuelas. “Es fundamental alertar al servicio de emergencias, ya que de ello depende […]
Redacción Radio Insular · 12 ago 2025

Canarias registra dos mujeres asesinadas por sus parejas o exparejas en 2025, según el balance provisional actualizado a 6 de agosto por la Delegación del Gobierno contra la Violencia de Género. Ese recuento sitúa al archipiélago en el 8,3% de los 24 casos confirmados en el país hasta esa fecha. El documento, que consolida la […]
Redacción Radio Insular · 12 ago 2025

La Guardia Civil ha llevado a cabo una importante operación antidroga en el Puerto de La Luz y de Las Palmas, que se ha saldado con la detención de un hombre residente en Tenerife y la incautación de más de 25 kilogramos de cocaína. La intervención, realizada bajo la dependencia funcional de la Administración de […]
Redacción Radio Insular · 10 ago 2025
Pájara exige reparación urgente del techado del polideportivo de Morro Jable tras filtraciones
El arte resiste al mal tiempo y pone el foco en la memoria de la Cornisa de Puerto del Rosario
La NASA explora Canarias como posible apoyo sanitario para misiones espaciales
El sector responde a FEAGA: “Hay ganas de participar y de llevar animales a la feria”
El Plan de Empleo Social transforma Puerto del Rosario con mejoras en barrios y entornos rurales
Recibe las noticias en tu correo.