Denuncias ciudadanas y reportes vecinales sobre problemas locales, infraestructuras o servicios públicos.

El Cabildo de Fuerteventura, a través del Servicio de Patrimonio Cultural, ha confirmado un expolio en la estación de grabados rupestres de la Montaña del Sombrero, en el municipio de Antigua. El hecho, que será denunciado ante las autoridades competentes, constituye un delito contra el patrimonio histórico y cultural al afectar a un bien protegido […]
Redacción Radio Insular · 7 nov 2025

Fuerteventura registró un total de 110 alertas por violencia de género durante el mes de octubre, según los datos publicados por el Centro Coordinador de Emergencias y Seguridad (CECOES) 1-1-2 del Gobierno de Canarias. La cifra representa el 6 % del total autonómico, en un mes en el que se contabilizaron 1.726 llamadas en todo […]
Redacción Radio Insular · 7 nov 2025

Agentes de la Policía Nacional han desmantelado un punto de venta de drogas en una vivienda de la zona alta del barrio de El Charco, concretamente en la calle Juan XXIII, tras una investigación iniciada a raíz de denuncias vecinales que alertaban del constante trasiego de personas en el lugar. El operativo se saldó con […]
Redacción Radio Insular · 6 nov 2025

El Partido Popular en La Oliva ha reclamado una actuación inmediata para recuperar y ordenar el entorno de Las Agujas, en Corralejo, un enclave turístico junto al Parque Natural de las Dunas donde permanece, desde hace años, una estructura de hormigón abandonada frente al mar. El PP considera que esta situación ofrece una “imagen inadmisible” […]
Redacción Radio Insular · 5 nov 2025

La primera sesión del juicio con Jurado contra el extesorero del Ayuntamiento de La Oliva (Fuerteventura), José Hilarión Cabrera, acusado de un presunto delito de malversación de caudales públicos, arrancó este lunes en la Audiencia de Las Palmas con un duro cuestionamiento de la defensa a la contabilidad municipal sobre la que se sustentan las […]
Redacción Radio Insular · 3 nov 2025

La Asociación Vecinal Los Pajeros de Guisguey ha expresado su profunda preocupación ante la falta de respuesta tanto del Ayuntamiento de Puerto del Rosario como del Cabildo de Fuerteventura a los múltiples escritos y demandas presentados por los vecinos para mejorar las condiciones de vida en el pueblo. Según la entidad, tras más de un […]
Redacción Radio Insular · 31 oct 2025

El juego de azar continúa ganando terreno entre los adolescentes y jóvenes de Canarias. Según el Estudio diagnóstico sobre juego patológico en población adolescente y joven en Canarias, elaborado por el Centro Aluesa de Fundación Adsis, casi el 12% de los encuestados reconoce tener problemas con los juegos de azar, mientras que el 13% siente […]
Redacción Radio Insular · 31 oct 2025

El portavoz del Grupo Mixto en el Cabildo de Fuerteventura y líder de Asambleas Municipales de Fuerteventura (AMF), Sergio Lloret López, ha anunciado la presentación de una moción para exigir la reactivación inmediata del expediente de mobiliario y equipamiento de la Biblioteca Comarcal Manuel Velázquez Cabrera, en Gran Tarajal. Lloret acusa a Coalición Canaria de […]
Redacción Radio Insular · 30 oct 2025

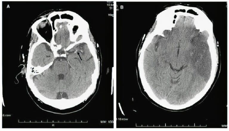
El Servicio Canario de la Salud (SCS) registró a lo largo de 2024 un total de 2.678 ingresos hospitalarios por ictus en los centros públicos del Archipiélago, lo que representa un descenso de aproximadamente un cinco por ciento respecto al año anterior, cuando se contabilizaron 2.819 casos. De ellos, 1.447 tuvieron lugar en la provincia […]
Redacción Radio Insular · 28 oct 2025

El Ayuntamiento de Antigua ha anunciado un refuerzo de las medidas de prevención, control e investigación destinadas a localizar y sancionar a los responsables de vertidos ilegales de escombros y residuos en el municipio. La iniciativa se desarrolla en coordinación con la Policía Local, los agentes medioambientales y con la colaboración de los vecinos, con […]
Redacción Radio Insular · 24 oct 2025

Cáritas Diocesana de Canarias ha atendido en lo que va de año a 1.053 personas en situación de sin hogar en la provincia de Las Palmas, según ha informado la entidad con motivo del Día de las Personas sin Hogar, que este año se celebra bajo el lema “Sin hogar, pero con sueños”. La organización […]
Redacción Radio Insular · 23 oct 2025

El Colectivo de Aspirantes Afectados por la oposición al Cuerpo General de la Policía Canaria (CGPC), convocada por Resolución del 9 de noviembre de 2023, ha solicitado la nulidad de pleno derecho del proceso selectivo al considerar que está “viciado desde su origen”. En un escrito presentado ante la Consejería de Presidencia, Administraciones Públicas, Justicia […]
Redacción Radio Insular · 20 oct 2025